首页
会议热点
重磅研究
聚焦卒中
往届回顾
大会采风
会议热点
2017国际卒中大会前瞻:小编带您「划重点」
2017年国际卒中大会召开在即,医脉通小编将会一如既往地为大家进行跟踪报道。在大会正式开幕之前,小编先来给大家盘点一下有哪些值得关注的好内容。
2017-02-15
重磅研究
[ISC2017]急性卒中患者早期vs延迟启动他汀治疗,哪个更好?
急性卒中患者即使在接受溶栓或血管内治疗后也经常会出现遗留身体残疾的情况。在有望减轻残疾的众多药物中,他汀被认为是对神经功能有潜在更好作用的药物。
2017-03-06
[ISC2017]脑出血后的缺血性脑卒中预防有了新选择?
对于既往有过脑出血或多发脑微出血的患者,缺血性脑卒中的二级预防是一个棘手的问题。近日,来自韩国的研究者纳入了数个亚洲国家及地区的患者,尝试使用西洛他唑进行二级预防,得到了喜人的结果。虽然这项研究的结论难以在世界范围内推广,但对于同为亚洲人群的我们,或许也能带来一些帮助。
2017-03-03
[ISC2017]迷走神经刺激可改善卒中患者的手臂功能
一项小型临床研究显示,刺激迷走神经的植入设备有望改善卒中患者的手臂功能。虽然两治疗组间的主要终点——治疗6周后的功能评分改变——没有显著差异,但在进一步治疗60天后出现获益,且患者响应率也出现差异。
2017-03-02
[ISC2017]止血药物或无法阻止脑出血患者的血肿扩大
两项试验的汇总结果显示,虽然CT“点征”能够预测出血扩大、死亡和残疾风险增加,但紧急使用止血药物治疗脑出血患者并没有阻止其扩展或改善其结局。
2017-03-01
聚焦卒中
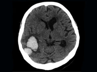
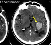
[ISC2017]新型神经影像征:血管里的「炸油条」
在现有的神经影像征中,不乏一些用食物做比喻的征象。西方有复活节时令美食“十字面包”,用以描述多系统萎缩的脑桥改变,现在我们国内的研究者也推出了传统早点“炸油条”,或许可以用来协助判断颅内血管的健康情况,既形象生动,又引人垂涎。
2017-03-07
[ISC2017]论中年血管危险因素对晚年痴呆风险的影响
新的研究表明,修饰中年时期的危险因素对于晚年保持其认知能力、维持日常生活质量至关重要。
2017-03-01
[ISC2017]即使脑叶ICH患者重启抗凝治疗仍有获益
一项荟萃分析显示,患者在原发性脑出血后重启口服抗凝治疗可显著改善结局,如降低死亡率和改善功能结局,不管出血发生在脑叶还是其他区域。研究结果呈现在国际卒中大会(ISC)2017上。
2017-02-28
[ISC2017]一氧化碳、芬戈莫德……这些药或许也能用于治疗卒中了
目前卒中的急性期治疗以血管再通治疗为主,包括溶栓和取栓在内的相关研究一直十分热门。不过,急性期可行的治疗并非仅限于溶栓和取栓,研究者们也在不断探索新的治疗方案。本届国际卒中大会的壁报中,有两项研究提及了两种让人稍感意外的药物,一起来看看这两项研究的摘要。
2017-02-28
往届回顾
2014年国际卒中大会(ISC2014)
2014年2月12日至14日,今年的国际卒中大会(ISC)在阳光明媚的加利福尼亚州圣地亚哥举行。
2017-02-23
2015年国际卒中大会(ISC2015)
2015年国际卒中大会(ISC2015),于2015年2月11日至2月13日在美国田纳西州首府纳什维尔隆重举行。
2017-02-23
2016年国际卒中大会(ISC2016)
2016年国际卒中大会(ISC2016)将于2016年2月17-19日在美国洛杉矶举办。
2017-02-23
大会采风
已关注(11人)
国际卒中大会
2020年国际卒中大会(ISC2020)
2020-02-12
2019年国际卒中大会
2019-02-13
2018年国际卒中大会专题报道
2018-01-19
2016年国际卒中大会(ISC2016)
2016-02-03
2015年国际卒中大会(ISC2015)
2015-01-22
关于我们
联系我们
隐私政策
版权声明
免责声明
公司产品
诚聘英才
网站帮助
(京)网药械信息备字(2022)第00008号
京公网安备11010502036930
京ICP备13043379号-5
京ICP证130463号
©2005-2026 medlive.cn,all rights reserved